Bienvenue sur le site du
Dr Mathieu Benichou, Chirurgien-Dentiste à Toulouse aux Carmes
L’approche du docteur Benichou est conçue pour vous délivrer une thérapeutique restauratrice, esthétique avancée afin de corriger, restaurer et améliorer votre sourire. Pour votre confort, nous vous accueillons au sein de notre cabinet dentaire à Toulouse dans une atmosphère chaleureuse et calme. Dans ces conditions, nous prenons un soin particulier à connaitre vos attentes et les intégrer dans une réhabilitation saine de votre sourire. Notre approche thérapeutique se veut la plus conservatrice et non invasive possible.
#Dr_Mathieu_Benichou
Et toi c’est comment chez ton dentiste 🤣🦷🪥
#dentiste #funny #trauma #dentalxrays #badnews
🩸 Du sang dans l’évier après le brossage ?
Ce n’est pas normal.
Et surtout, ce n’est pas anodin.
👉 Dans la majorité des cas, ce saignement est le premier signe d’une gingivite :
une inflammation de la gencive liée à l’accumulation de plaque bactérienne.
🦷 Bonne nouvelle :
La gingivite est réversible avec un traitement adapté et une bonne hygiène.
⚠️ Mais si on laisse traîner…
La gingivite peut évoluer vers une parodontite.
Et là, on ne parle plus seulement de gencive, mais de perte osseuse, de mobilité dentaire…
et parfois de dents qu’on n’arrive plus à sauver.
💡 La règle est simple :
Une gencive saine ne saigne pas.
Le sang, c’est un signal d’alarme — pas un détail.
📍 Si tu vois régulièrement du sang dans l’évier,
ce n’est pas “normal”… c’est le bon moment pour consulter.
#gingivite #parodontite #santébuccodentaire #prévention #gencives dentiste pédagogie vulgarisation
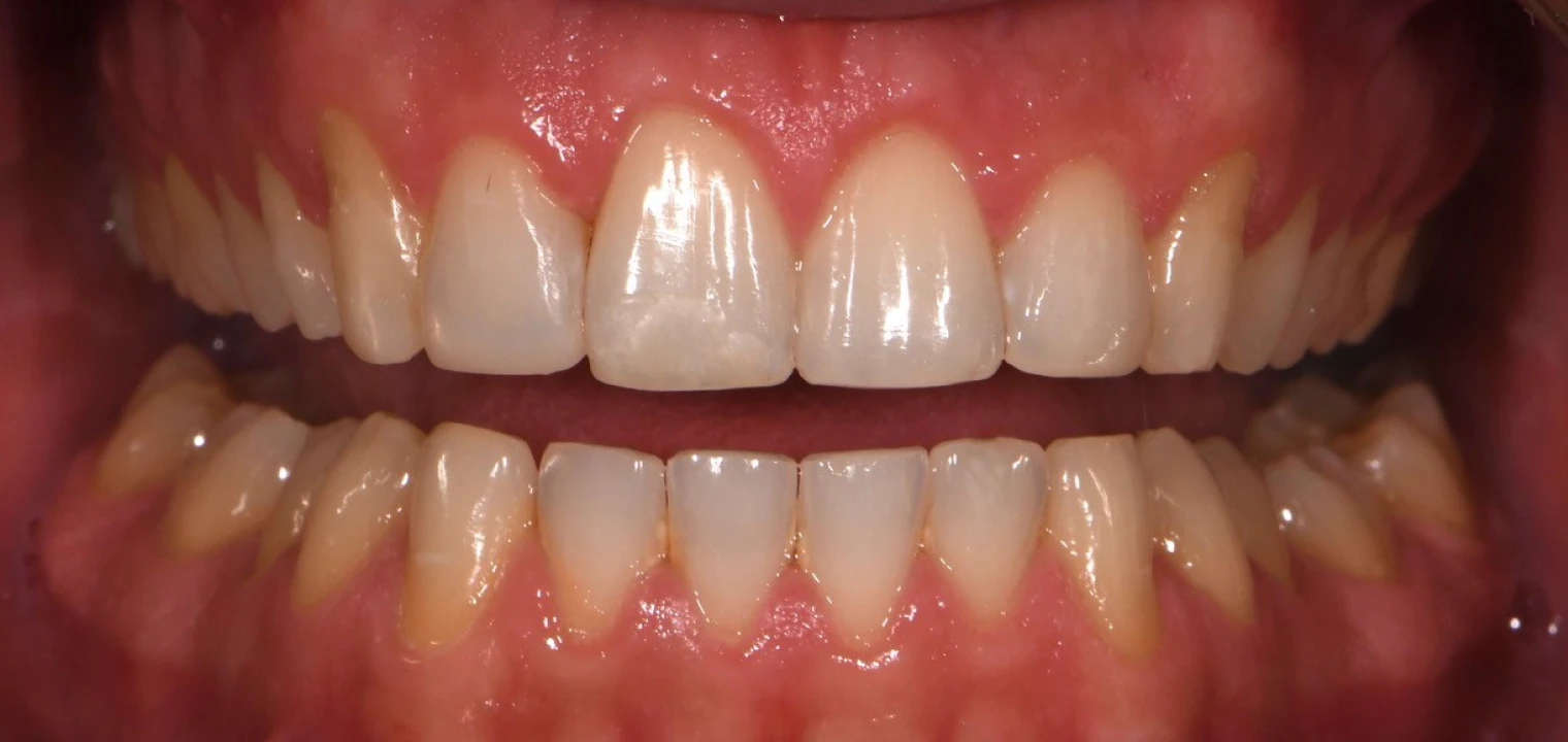
🦷✨ Cas clinique – Traitement combiné orthodontie et facettes
👉 Cliques pour découvrir le développement complet du cas, étape par étape.
Merci à notre patient pour sa confiance dans cette prise en charge globale, pensée avec Invisalign SmileArchitect dès le départ pour optimiser le résultat esthétique tout en respectant au maximum les tissus dentaires.
1. Sourire final – vue large
Résultat en fin de traitement.
Un sourire harmonisé, naturel, avec des proportions équilibrées entre incisives centrales et incisives latérales maxillaires. @lelabo.cd
📸 2. Sourire initial – vue large
Situation de départ.
Les dents sont saines, mais les proportions et leur position créent un déséquilibre esthétique.
📸 3. Comparatif avant / après – bouche entrouverte
Cette vue permet d’analyser précisément :
• les formes dentaires
• les volumes
• l’alignement obtenu après la pose des facettes
📸 4. Comparatif avant / après – bouche fermée
📸 5. Vue latérale droite – bouche fermée
📸 6. Préparations minimalement invasives
Préparations ultra-conservatrices sur les incisives latérales maxillaires (12 et 22), respect du gradient thérapeutique à 1000%
📸 7. Séquence clinique : préparation → collage → cicatrisation
• Haut : préparations en bouche
• Centre : juste après collage
• Bas : facettes intégrées, tissus cicatrisés
📸 8. Simulation orthodontique
Planification par aligneurs invisibles Invisalign :
création d’espaces et ingréssions maxillaires pour préparer un projet esthétique cohérent.
📸 9. Mock-ups numériques & contrôle de réduction
Avec Smile Architect :
• position des mock-ups
• contrôle précis de l’épaisseur d’émail à retirer - Stripping mécanisé réalisé à l’aide de l’OS30 de chez @kometfrance - Coffret Aligneurs en Omnipratique
🎥 10. Vidéo – Sans orthodontie
Simulation de la quantité d’émail qui aurait dû être retirée sans alignement préalable
Vidéo 11 et 12 Mouvements Orthodontiques et simulations pour intégrer le Mock Up
👉 Penser avant d’agir. Déplacer avant de restaurer.
#Invisalign #SmileArchitect Facettes DentisterieEsthét
🦷✨ Cas clinique – approche globale orthodontie & esthétique
Traitement combiné par aligneurs invisibles Invisalign et facettes sur incisives latérales, pensé dès le départ pour optimiser l’esthétique tout en préservant l’émail.
La planification numérique avec Smile Architect a permis de repositionner les dents avant restauration, de contrôler précisément les volumes et de respecter le gradient thérapeutique.
👉 Résultat : un sourire harmonisé, des proportions équilibrées, et une approche minimalement invasive (≈ 0,5 mm d’émail).
Penser avant d’agir. Déplacer avant de restaurer.
#Invisalign #SmileArchitect #DentisterieEsthétique #Facettes #OrthodontieInvisible ApprocheConservatrice SmileDesign
🦷✨ Cas clinique – approche globale orthodontie & esthétique
Traitement combiné par aligneurs invisibles Invisalign et facettes sur incisives latérales, pensé dès le départ pour optimiser l’esthétique tout en préservant l’émail.
La planification numérique avec Smile Architect a permis de repositionner les dents avant restauration, de contrôler précisément les volumes et de respecter le gradient thérapeutique.
👉 Résultat : un sourire harmonisé, des proportions équilibrées, et une approche minimalement invasive (≈ 0,5 mm d’émail).
Penser avant d’agir. Déplacer avant de restaurer.
#Invisalign #SmileArchitect #DentisterieEsthétique #Facettes #OrthodontieInvisible ApprocheConservatrice SmileDesign
✨ Bravo à notre patiente ! ✨
Très heureux d’avoir mené à bien ce cas de traitement par aligneurs Invisalign Go Plus, avec une observance absolument irréprochable 👏
👉 Au départ : linguo-version et palato-version marquées des incisives maxillaires, associées à un encombrement important au maxillaire et à la mandibule.
👉 À l’arrivée : une occlusion stable et parfaitement équilibrée, avec un encombrement totalement résolu.
🔍 Sur le plan technique :
– 26 gouttières sur 13 mois, sans gouttières de finition
– Ingression ciblée des secteurs antérieurs, avec palato-version radiculaire et mouvements de torque
– Torque radiculaire important sur les incisives maxillaires
– Rotations des 16 et 26, permettant d’ouvrir l’arcade et de libérer l’espace, notamment au niveau des 15 et 25, avec correction de l’endo-alvéolie
– Rotations des 36 et 46, levant l’encombrement mandibulaire et corrigeant les endo-alvéolies marquées sur les 34-44 et 35-45
– Le tout réalisé avec très peu de stripping
Un cas exigeant, rendu possible par une planification rigoureuse, des mouvements biologiquement respectueux, et surtout une patiente extrêmement investie 💪
Encore bravo et merci pour votre confiance 🙏
✨ Bravo à notre patiente ! ✨
Très heureux d’avoir mené à bien ce cas de traitement par aligneurs Invisalign Go Plus, avec une observance absolument irréprochable 👏
👉 Au départ : linguo-version et palato-version marquées des incisives maxillaires, associées à un encombrement important au maxillaire et à la mandibule.
👉 À l’arrivée : une occlusion stable et parfaitement équilibrée, avec un encombrement totalement résolu.
🔍 Sur le plan technique :
– 26 gouttières sur 13 mois, sans gouttières de finition
– Ingression ciblée des secteurs antérieurs, avec palato-version radiculaire et mouvements de torque
– Torque radiculaire important sur les incisives maxillaires
– Rotations des 16 et 26, permettant d’ouvrir l’arcade et de libérer l’espace, notamment au niveau des 15 et 25, avec correction de l’endo-alvéolie
– Rotations des 36 et 46, levant l’encombrement mandibulaire et corrigeant les endo-alvéolies marquées sur les 34-44 et 35-45
– Le tout réalisé avec très peu de stripping
Un cas exigeant, rendu possible par une planification rigoureuse, des mouvements biologiquement respectueux, et surtout une patiente extrêmement investie 💪
Encore bravo et merci pour votre confiance 🙏
✨ Bravo à notre patiente ! ✨
Très heureux d’avoir mené à bien ce cas de traitement par aligneurs Invisalign Go Plus, avec une observance absolument irréprochable 👏
👉 Au départ : linguo-version et palato-version marquées des incisives maxillaires, associées à un encombrement important au maxillaire et à la mandibule.
👉 À l’arrivée : une occlusion stable et parfaitement équilibrée, avec un encombrement totalement résolu.
🔍 Sur le plan technique :
– 26 gouttières sur 13 mois, sans gouttières de finition
– Ingression ciblée des secteurs antérieurs, avec palato-version radiculaire et mouvements de torque
– Torque radiculaire important sur les incisives maxillaires
– Rotations des 16 et 26, permettant d’ouvrir l’arcade et de libérer l’espace, notamment au niveau des 15 et 25, avec correction de l’endo-alvéolie
– Rotations des 36 et 46, levant l’encombrement mandibulaire et corrigeant les endo-alvéolies marquées sur les 34-44 et 35-45
– Le tout réalisé avec très peu de stripping
Un cas exigeant, rendu possible par une planification rigoureuse, des mouvements biologiquement respectueux, et surtout une patiente extrêmement investie 💪
#dentist #dental_clinic #dentalphotography #aligners
Coulisses du cabinet
#surgicalguides #dentistry #surgery #implantologie
Notre équipe
Assistantes professionnelles
Notre cabinet dentaire à Toulouse
Situé au cœur du quartier des carmes à Toulouse, notre cabinet dentaire se propose de vous accueillir dans une atmosphère propice au travail de qualité. Au sein de notre cabinet, le patient est situé au cœur de notre thérapeutique. Nous avons réalisé ce cabinet à l’image de la qualité du travail que nous aimons réaliser avec nos patients.
Nos valeurs
Ecoute
Rigueur
Excellence
Sécurité
Fiabilité
Les valeurs développées par l’équipe de notre cabinet dentaire à Toulouse sont essentielles à la thérapeutique qui vous est proposée. Les traitements vous sont prodigués en accord avec les données actuelles de la science, basés sur des recommandations internationales et des recherches permanentes dans la littérature scientifique. Notre équipe dentiste à Toulouse défend des valeurs fortes et humaines
Confort & technologie
Notre cabinet dentaire à Toulouse utilise des technologies nous permettant de vous délivrer une expertise et un plan de traitement adapté à vos besoins. Nos praticiens vous offrent la possibilité de bénéficier de greffes osseuses, d’élévation de sinus, combinés aux dernières technologies (chirurgie avec PRF©) pour potentialiser et améliorer le succès des traitements.
découvrir
Le Dr Benichou répond à vos questions sur la chirurgie dentaire
Esthétique du sourire
Vous êtes à la recherche d’un dentiste à Toulouse pour parfaire votre esthétique dentaire? Le sourire fait partie intégrante de la dynamique de l’ensemble du visage et affirme la signature de votre personnalité. Nous accordons un soin très particulier à l’analyse des éléments du visage pour planifier nos réhabilitations esthétiques :
- Le DSD : Le Digital Smile Design permet à tous les acteurs de la réalisation de connaitre la planification précise du sourire de vos rêves. Le prothésiste, le dentiste et l’assistante connaissent à la manière d’un architecte tous les plans et les spécifications validées en amont par le patient.
- Le mock up virtuel / réel : avant toute réalisation globale définitive, nous validons nos projets de manière numérique, puis réelle, pour s’assurer que le résultat final conviendra parfaitement à vos attentes.
Notre vision
Notre équipe chirurgien-dentiste à Toulouse combine expérience et nouveauté pour vous proposer des services complets : radio panoramique 3D, caméra empreinte optique numérique, logiciel de CFAO (conception fabriquée assistée par ordinateur).
Nous mettons les nouvelles technologies à votre profit.
Toutes nos interventions chirurgicales sont réalisées à l’aide du PRF (Platelet rich fibrin) afin de diminuer les douleurs post opératoires et d’assurer une cicatrisation optimale.
Les protocoles répondants aux normes européennes les plus strictes sont accompagnés d’une traçabilité individuelle et propre à chaque patient, qui nous permet de connaitre et de retracer le Quality Control de l’ensemble des étapes des instruments utilisés.
La rehabilitation globale
Qu’est ce que la réhabilitation globale?
Une réhabilitation globale permet de restaurer et améliorer la totalité d’un sourire. Vos premières consultations avec notre dentiste à Toulouse nous permettent d’apprendre à connaitre votre histoire.
Les étapes :
Nous passons une consultation à écouter votre demande pour ébaucher un plan de traitement et cibler au mieux vos attentes. Une fois l’objectif de traitement validé, nous passons à la phase diagnostique pour connaitre et anticiper les spécificités propres à votre situation. Au cours de ce rendez-vous, nous pouvons être amenés à prendre des photos, des radiographies et des empreintes numériques afin d’affiner et préciser les décisions ultérieures. À l’issue de cette étape, nous poursuivons sur une consultation dédiée du ou des plans de traitements proposés par notre cabinet dentaire à Toulouse.
Le déroulé d'un soin dentaire par le Dr Benichou
Prendre RDV Doctolib
Simplifiez-vous la tâche et prenez rendez-vous avec nos Drs chirurgiens-dentistes à Toulouse directement sur Internet via la plateforme Doctolib. Il vous suffit de renseigner le nom de notre cabinet dentaire dans la barre de recherche et de réserver l’un des créneaux disponibles. Remplissez un rapide questionnaire médical en quelques clics et votre rendez-vous est finalisé !
Laboratoire de prothèses
Nos prothèses sont réalisées dans des laboratoires Toulousains
Conseils
Pré-opératoires :
Post-opératoires :
Les résultats & suivi
Pour vous assurer la meilleure qualité de service, nous pouvons vous fournir des exemples de résultats avant/après pour que vous puissiez vous projeter plus facilement et prendre les bonnes décisions pour vos soins bucco-dentaires. Implant, blanchiment, orthodontie, prothèse, abcès, extraction, couronnes : quel que soit le soin pour lequel vous êtes traité, notre cabinet dentaire à Toulouse assure un suivi rigoureux et complet pour un résultat optimal.
Avant
Après
Urgences
Traumatismes
ou chocs
Après un choc ou un traumatisme, prenez immédiatement contact avec notre équipe pour obtenir un rendez-vous rapidement dans notre cabinet dentaire à Toulouse et être pris en charge dans les meilleurs délais.
CONTACTEZ-NOUSEn cas d'absence ou de fermeture
Dans le cas où nos docteurs ne seraient pas disponibles, contactez le service de garde mis en place par le Conseil de l’Ordre. L’Ordre National des Chirurgiens-Dentistes dispose de services de garde par région afin de traiter les urgences patientes en dehors des heures d’ouverture des cabinets.
SERVICE DE GARDEPour toute situation d'urgence grave
En cas d’urgence dentaire grave, composez le 15 (Samu) ou le 18 (Pompiers) pour être pris en charge à domicile ou rendez-vous à la Clinique Dentaire la plus proche de chez vous pour consulter un dentiste à Toulouse.
CONTACTEZ LE 15Accès & Horaires
Ouverture du secrétariat
Pour prendre rendez-vous ou demander des informations complémentaires, notre secrétariat dentaire est ouvert :
Accès
Placé en plein centre, l’adresse de notre cabinet dentaire à Toulouse est au 42 rue Pharaon, 31000 Toulouse.