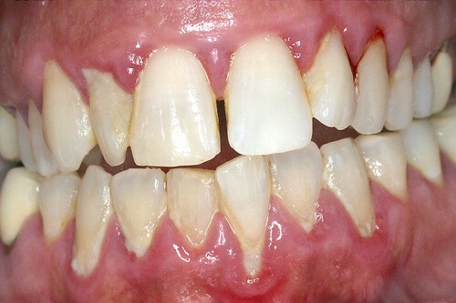
Vos gencives saignent ou sont douloureuses ? Elles se rétractent ? Il s’agit peut-être des premiers signes d’une maladie parodontale. Pour mettre fin aux douleurs et pour retrouver un beau sourire, une prise en charge médicale de la pathologie est nécessaire. Le Dr Benichou, chirurgien-dentiste et spécialiste dans la parodontologie à Toulouse, peut traiter toutes les maladies parodontales même les cas les plus avancés. Notre cabinet dentaire vous accueille à Toulouse et vous offre un accompagnement complet.
Qu’est-ce qu’une maladie parodontale ?
La maladie parodontale, aussi appelée parodontite, est une affection de la cavité buccale. C’est une pathologie inflammatoire d’origine bactérienne dont le facteur déclenchant principal est la plaque dentaire. L’inflammation provoquée par des bactéries va détruire petit à petit tout le système d’attache des dents jusqu’à les rendre mobiles.
C’est pour cela qu’on parle de déchaussement des dents. Dans notre cabinet de parodontologie à Toulouse, nous commençons par réaliser un prélèvement pour examiner votre flore bactérienne au microscope. Cela nous permettra d’identifier les bactéries responsables de votre maladie parodontale. Par la suite, nous pourrons vous proposer un traitement dentaire adapté.
Quels sont les symptômes d’une maladie parodontale ?

Les symptômes classiques d’une atteinte inflammatoire des gencives sont le saignement pendant le brossage des dents, ou encore plus grave, le saignement spontané des dents et des gencives. Les autres signes qui peuvent apparaître sont les mobilités et les migrations dentaires, ainsi que la mauvaise haleine. Dans cette situation, il est important de mettre en place des soins dentaires adaptés pour retrouver une bonne santé gingivale.
Il faut aussi noter qu’une maladie parodontale peut passer par plusieurs stades :
- la gingivite : inflammation de la gencive ;
- la parodontite débutante : évolution d’une gingivite non soignée ;
- la parodontite modérée : stade dans lequel les gencives se rétractent en créant un espace entre la dent et la gencive ;
- la parodontite avancée : apparition de poches parodontales profondes avec perte osseuse. On observe alors un déchaussement des dents, et dans les cas les plus graves, la perte des dents.
Quelles sont les causes d’une parodontite ?

Tartre et plaque dentaire sont les facteurs qui déclenchent généralement une maladie parodontale car ils servent de support aux bactéries. Autrement dit, pour prévenir ce type de pathologie, il est important de conserver une bonne hygiène orale avec un brossage des dents régulier, et en réalisant fréquemment un détartrage dentaire.
Par ailleurs, il existe d’autres facteurs qui peuvent participer au développement d’une parodontite. Ces facteurs de risque sont généralement le tabagisme, l’alcoolisme ou encore le diabète. Des facteurs génétiques peuvent aussi entrer en jeu.
Est-ce que la parodontite est une maladie grave ?
Dans le cadre d’une maladie gingivale, le déchaussement dentaire survient souvent après 40 ans. Mais des parodontites très agressives peuvent toucher les adolescents avec un développement qui peut être très rapide avec des saignements et des mobilités dentaires.
Autrement dit, si vous remarquez les signes d’une parodontite, vous devez consulter au plus vite. Aujourd’hui, les dentistes peuvent guérir ces pathologies en agissant rapidement pour conserver les dents naturelles des patients et éviter la pose de prothèses dentaires. Il faut bien comprendre que plus le traitement est mis en place rapidement, plus les résultats seront stables.
Quels sont les avantages d’un traitement parodontal ?
Les bénéfices d’un traitement parodontal en cabinet sont nombreux :
- amélioration du confort avec des gencives saines et des dents consolidées ;
- amélioration de l’haleine ;
- amélioration de la mastication ;
- amélioration de l’apparence des dents et des gencives.
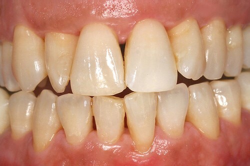
Pour ce traitement, le chirurgien-dentiste va utiliser un rayonnement pénétrant avec de l’eau oxygénée après une préparation initiale précise. Les résultats sont immédiats et la gencive cicatrise avec une régénération des tissus.
Comment se déroule un traitement de parodontologie à Toulouse ?
Grâce à la biostimulation, la cicatrisation est plus rapide. Ce traitement innovant élimine les mobilités dentaires en réattachant les tissus sur la racine des dents. Après ce soin des gencives, les saignements et la mauvaise haleine sont éliminés. Un traitement chirurgical n’est nécessaire que pour des atteintes très sévères. L’intervention consiste à effectuer des lambeaux pour accéder directement aux lésions pour les combler.
Quels sont les conseils post-traitement à suivre ?
Pour que ce traitement soit une totale réussite, il est important de conserver une bonne hygiène bucco-dentaire par la suite. À ce sujet, votre chirurgien-dentiste vous donnera tous les conseils post-traitement utiles. Lorsque la maladie parodontale est stable, il est important de mettre en place un suivi régulier par la suite.
Le Dr Benichou, expert en parodontologie à Toulouse, pourra aussi réaliser une chirurgie muco-gingivale ainsi qu’un comblement osseux sur la dent s’il est nécessaire de reconstituer les tissus perdus. Pour en savoir plus sur le traitement parodontal, vous pouvez nous contacter à tout moment, ou venir directement dans notre cabinet dentaire !
